Dr. Rodrigo Lorenzana

Algunos de nuestros servicios

Servicios

Conozca algunos de nuestros servicios:

Estenosis Espinal

Hematoma Subdural Hemisférico

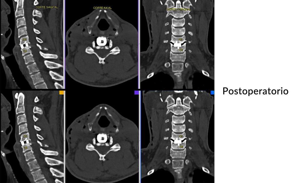
Hernia de
disco cervical

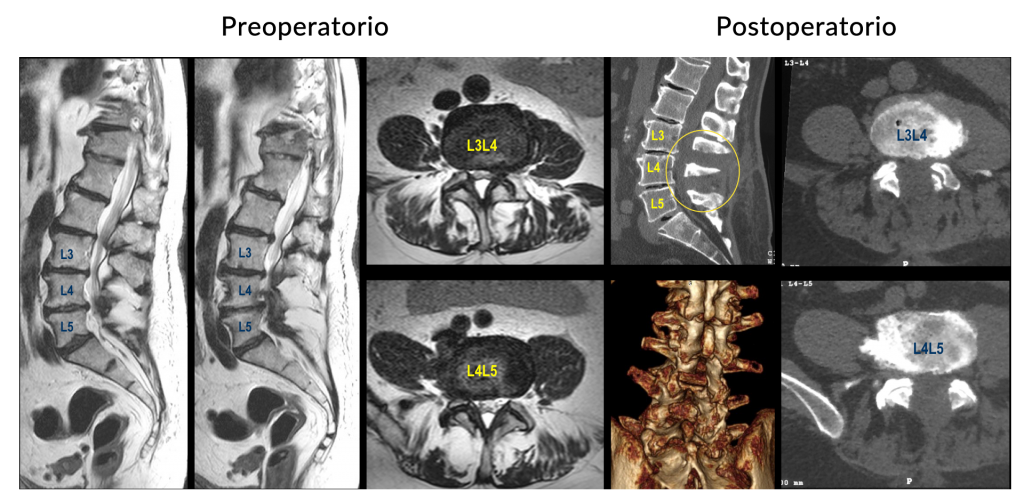
Hernia de
disco lumbar

Inestabilidad de columna cervical

Trauma Raquimedular Torácico